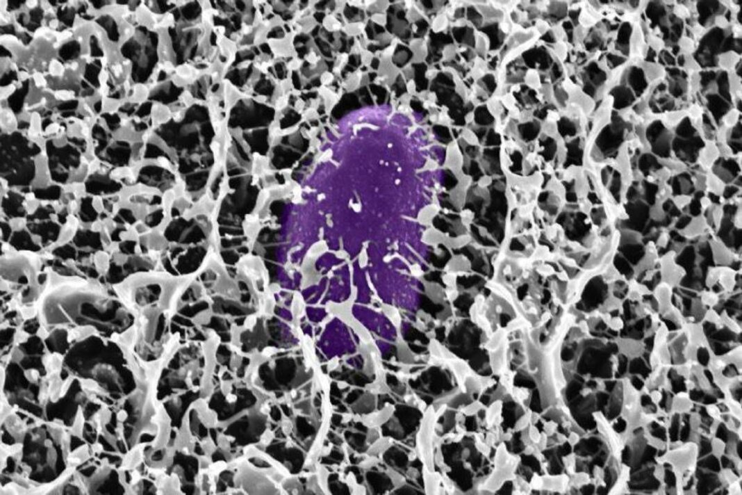
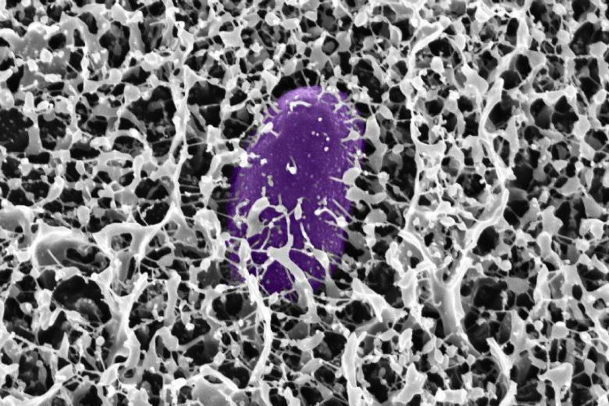
(Adnkronos) – Il muco, spesso ridotto a semplice sostanza appiccicosa, nasconde un sofisticato arsenale di molecole protettive. Una nuova ricerca condotta dai ricercatori del Massachusetts Institute of Technology (MIT) ha identificato come specifiche molecole chiamate mucine siano in grado di difendere l’organismo dalla Salmonella e da altri batteri responsabili di malattie diarroiche.
Lo studio, pubblicato sulla rivista Cell Reports, non si limita a identificare il meccanismo di difesa, ma apre concrete prospettive per lo sviluppo di mucine sintetiche da utilizzare nel trattamento o nella prevenzione di malattie di origine alimentare. Questo approccio potrebbe offrire una soluzione a basso costo a una sfida sanitaria globale che genera miliardi di costi annuali in tutto il mondo.
La ricerca si è concentrata sulla MUC2, una mucina tipicamente presente nell’intestino. Le mucine sono polimeri a forma di spazzola, composti da complesse molecole di zuccheri (glicani) legate a una spina dorsale peptidica.
I ricercatori hanno scoperto che quando la Salmonella enterica viene esposta alla mucina MUC2, il batterio interrompe la produzione delle proteine codificate sull’”isola di patogenicità 1” (Salmonella pathogenicity island 1, SPI-1), essenziali per il sistema di secrezione di tipo 3 (T3SS) che permette al batterio di infettare le cellule ospite.
Ulteriori analisi hanno rivelato che la MUC2 raggiunge questo risultato disattivando una proteina batterica di regolazione cruciale, nota come HilD. Bloccando questa proteina, la mucina impedisce l’attivazione dei geni T3SS. Utilizzando simulazioni computazionali, è stato dimostrato che alcuni monosaccaridi, come GlcNAc e GalNAc, possono legarsi al sito attivo della proteina HilD. Tuttavia, lo spegnimento dei geni avviene solo quando questi glicani sono ancorati alla spina dorsale peptidica della mucina. Lo studio ha inoltre rivelato che una mucina simile, la MUC5AC, presente nello stomaco, condivide questa capacità.
I ricercatori dell’MIT, guidati da Katharina Ribbeck, Andrew and Erna Viterbi Professor of Biological Engineering e autrice senior dello studio, intendono ora esplorare l’uso di versioni sintetiche di queste molecole per potenziare le difese naturali del tratto gastrointestinale.
La dottoressa Ribbeck ha espresso l’obiettivo strategico della ricerca: “Utilizzando e riformulando questo motivo dal sistema immunitario innato naturale, speriamo di sviluppare strategie per prevenire la diarrea prima ancora che inizi. Questo approccio potrebbe fornire una soluzione a basso costo a una grande sfida sanitaria globale che costa miliardi ogni anno in perdita di produttività, spese sanitarie e sofferenza umana”.
Una delle applicazioni più promettenti per le mucine sintetiche è la profilassi pre-esposizione. Queste molecole potrebbero essere incorporate in compresse masticabili o in sali per la reidratazione orale, da consumare prima di recarsi in aree endemiche per la Salmonella o altre malattie diarroiche comuni.
Come ha spiegato la ricercatrice Kelsey Wheeler, co-autrice principale dello studio: “I mimic della mucina brillerebbero in particolare come preventivi, perché è così che il corpo ha evoluto il muco, come parte di questo sistema immunitario innato per prevenire l’infezione”. La strategia si basa sull’idea di rafforzare le barriere mucose nelle aree del tratto gastrointestinale che la Salmonella tende a infettare.
La ricerca è stata sostenuta da diversi enti, tra cui l’U.S. Army Research Office, l’U.S. National Science Foundation e il National Institutes of Health.
Immagine di cover per gentile concessione dei ricercatori del MIT
—
tecnologia
webinfo@adnkronos.com (Web Info)


